Cada vez más mujeres deciden postergar la maternidad más allá de los 35 años. Los motivos son diversos: mujeres que están a la espera de formar una pareja, desean esperar un tiempo por cuestiones personales o profesionales. También algunas, más maduras, tras encarar un nuevo matrimonio buscan tener un hijo. Pero este cambio social no viene solo: sino acompañado por el desarrollo de técnicas cada vez más efectivas para la congelación celular, lo que modificó el concepto de planificación familiar. Por eso, la verdadera planificación debe comenzar antes de los 35. Aquellas que estén decididas a vitrificar sus óvulosdeben hacerlo en el mejor momento, para poder así garantizar la calidad de los gametos en el futuro.
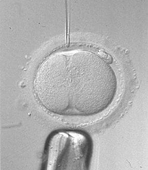
Entre otras técnicas, la vitrificación de ovocitos o embriones permite obtener una mayor calidad celular que por medio de las técnicas tradicionales. Consiste en el empleo de elevadas concentraciones de crioprotectores que, junto a volúmenes pequeños y tiempos reducidos, logran formar una capa vítrea alrededor del ovocito al momento de congelarlos. La combinación de esta nueva técnica evita la formación de cristales de hielo dentro de la célula, que son los responsables del daño celular. De este modo, el comportamiento de estos ovocitos es similar al de los no congelados.
La verdadera planificación debe comenzar antes de los 35. Aquellas que estén decididas a vitrificar sus óvulos deben hacerlo en el mejor momento, para poder así garantizar la calidad de los gametos en el futuro.Planificar
"En la práctica diaria, las mujeres llegan al consultorio con edades superiores a los 37 años. A esa altura muchas de ellas ya tienen una disminución avanzada de su fertilidad, con lo cual tratar de implementar estos tratamientos muchas veces no es recomendado", cuenta Dr. Nicolás Neuspiller, director médico de Fecunditas.
Según él, lo ideal sería que las mujeres consulten más tempranamente, incluso por debajo de sus 35 años, momento en el que inicia la declinación de la fertilidad femenina, para así planificar tratamientos más efectivos y con mejores resultados para el día que se deseen descongelar los ovocitos.
Los médicos recomiendan tener en cuente que el final de la etapa reproductiva no está marcado sólo por la menopausia, mucho antes de que se interrumpa el ciclo menstrual ingresan en un estado de subfertilidad que dificulta la concreción de un embarazo con óvulos propios.
También te pueden interesar…
- Cirugía robótica en Ginecología, menos invasiva
- Un paso adelante en fertilidad: el ovario artificial
- Maternidad a partir de los 35 años
- Maternidad tardía: complicaciones en el embarazo
- El estrés dificulta el embarazo
- Primero el trabajo, después la maternidad
- Embryoscope, ¿revolución para los embarazos?
- Fertilidad: ¿Qué barreras encuentran las parejas cuando buscan ayuda?
¿Ya has visitado Mujer y Salud/Maternidad en nuestra ZONA VIDA PERSONAL?


